
| Цена: 0 руб. | |
| Средняя оценка: 1 из 5
|
|
| Сайт: medicine.kz | |

Неприятная история произошла со мной 4 года назад, когда в один момент я рухнул на пол от боли под лопаткой, я не знал, что делать на тот момент, рядом со мной находились мои друзья, которые были шокированы происходящем, и как поняли, что я был полностью контужен, сразу же вызвали скорую помощь. Приехала машина за мной в течении часа, медсестра осмотрела меня, у меня был сильных жар, повышенная температура под сорок градусов, также меня потрясывало и было замутнение перед лицом. Мать тогда просто не знала, чем мне помочь.
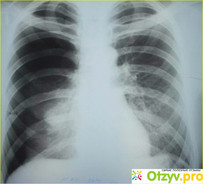
Мне изначально поставили диагноз - пневмония нижнедолевая левого легкого, так как по результатам измерения артериального давления и проверки сердцебиения у меня дыхание отставало в левой стороне значительно. Мне сказали собрать с собой необходимые вещи и сказали, что вероятнее всего вас будут ложить на продолжительный срок. Я очень сильно испугался и мы выехали в больницу, по пути мне было очень больно от наших дорог, потому что они построены по принципу кочка на кочке. Но все же мы прибыли на конечный пункт назначения. Там я прошел в отдельный кабинет и там уже сидела тот самый врач Виталий Казакевич. Он меня направил на прохождения рентгена, и на снимках выявилось что у меня спонтанный пневмогидроторакс. В левом легком, а точнее в плевральной полости скопилось много жидкости и воздуха. Это результат моей простуды и то как я ее потом на ногах перенес, моя конечно вина в случившемся, но мне надо было исправлять данную ситуацию. И тут мне этот врач сказал, хотите ли вы сегодня делать пункцию легких или придете завтра. Не понял, как можно вообще такие вопросы задавать, если он прекрасно видит, как я стою на ногах. Конечно же я без раздумия согласился на хирургическое вмешательство.
Меня отвезли в операционную. Кстати мой врач не принимал участие в удалении жидкости из легких. Он просто рядышком стоял и что то записывал в свой блокнотик. Спасибо большое хирургам, которые все четко сделали и даже успокаивали меня, когда мне было больно. После всех процедур мне прикрепили к телу баночку, куда сливалась жидкость с кровью и стравливался воздух, а мой врач забыл меня предупредить, что там есть бегунок на шланге, и когда необходимо вставать его надо перекрывать. В итоге после похода в туалет, я конечно же забыл его перекрыть и упал сначала ударившись о дверь, я не понял что происходило, давление было низкое, все передо мною кружилось. Как выяснилось это низкое давление из за того, что в мозг не поступает кровь. Вот тебе на, а врач даже мне об этом не сказал. Но потом я повторно встал, прошел метра два в таком состоянии и повторно упал и отключился. Хорошо, что рядом проходила медсестра, отвела меня в мою палату и объяснила назначение этого ролика на шланге. После этого я уже знал, как надо правильно вставать.
Посещал меня лечащий врач очень редко, по утрам мы вставали а его не было, хотя будили очень рано, я всегда не высыпался, потому что по ночам вставал от сильной боли. Мне постоянно кололи обезбаливающее на ночь, но его мне всегда не хватало.

В курс дела меня Виталий никогда не вводил, приходил посмотрел на меня и уходил для отчетности своей. Я ему постоянно задавал вопросы, как у меня состояние, как результаты анализов, что показывает рентген, страшно ли мое заболевание, а он тупо шатал постоянно головой и ничего толком мне рассказать не смог. Вот такой вот специалист с маленькой буквы.
В день выписки я все ему в лицо сказал, что о нем думаю! Всем спасибо за внимание! И самое главное крепкого вам здоровья!
| Все(5) |
|---|
Негативный отзыв после Правки Атланта™ | Отзыв Константина после вправления Атланта. Казакевич Виталий | Семинар Набойченко - Питание, закисление и защелачивание | Ленивые пациенты или почему люди не хотят лечиться Реабилитационный центр Атлант | Плохие отзывы о методике АтласПРОфилакс о коррекции атланта. |
Комментарии на отзыв:
Я не лечился у Казакевича, но на Ютубе достаточно его видео, чтобы зауважать. Я понял и другое: Настоящие костоправы, (Не только Казакевич" это ГРОЗА нейрохирургов, которым он как кость в горле. Они их ненавидят из за того, что лишаются заработать десятки тысяч.
Данный комментарий понятен даже тем фактом, что он с картинками, и его делал не сам больной, а КОМПЬЮТЕРЩИК.
Виталий Казакевич был моим лечащим врачом, и я ожидал от него профессионального и внимательного отношения. Однако, он проявил мало интереса к моему состоянию и редко посещал меня. Более того, он не предоставлял мне достаточно информации о моем заболевании и результатах анализов. Я задавал ему вопросы, но он отвечал малоинформативно и не проявлял особого интереса к моим проблемам.
Также хочу отметить, что врач Виталий Казакевич не принимал участие в хирургическом вмешательстве, которое мне проводили. Он просто стоял рядом и что-то записывал в блокнот. Я был приятно удивлен работой хирургов, которые все сделали четко и профессионально.
Однако, есть и положительные моменты. Медсестры и другой медицинский персонал были внимательными и заботливыми. Они всегда были рядом, когда мне было больно, и предоставляли мне необходимую помощь. Они объяснили мне, как правильно использовать специальный ролик на шланге, чтобы избежать проблем.
В целом, мой опыт в больнице был положительным, но я ожидал большего от врача Виталия Казакевича. Я считаю, что врач должен быть более внимательным к пациентам и предоставлять им полную информацию о их заболеваниях. Надеюсь, что мой отзыв поможет улучшить работу данного врача и повысить качество обслуживания в больнице.