| Цена: - руб. | |
| Средняя оценка: 5 из 5
|
|
| Рекомендуют: 100% | |
| Сайт: | |
| Бренд: Плеврит | |

Pleurisy - это инфекция смазанных поверхностей между легкими и внутренней грудной стенкой. Они известны как плевра. У здорового человека плевры плавно переходят друг в друга во время дыхания, оставляя пробел, называемый плевральным пространством.
Во время плеврита они втираются друг в друга. Это трение является причиной боли в груди, связанной с плевритом. Плейрисы обычно были распространенным осложнением бактериальной пневмонии, но сейчас она менее распространена из-за введения антибиотиков. Pleurisy является только заразным, если основная инфекция также является заразной. Инфекция может длиться от нескольких дней до 2 лет.
Плеври - воспаление подкладки легкого. Тяжесть состояния может варьироваться от легкой до опасной для жизни. Легкие обернуты тонким слоем ткани, называемым плеврой. Они плотно прилегают к груди, которая выровнена другим тонким слоем плевры. Если голые легкие, то они начинают протираться к стенке вашей грудной полости каждый раз, когда вы вдыхаете. В пределах очень узкого пространства между двумя слоями плевры есть немного жидкости, чтобы все двигалось плавно. Когда человек здоров, никогда не заметит свою плевру в работе. Но если у плевры есть проблема, то это состояние человек точно сможет почувствовать. Когда плевры опухли и воспалены, они протирают друг друга очень болезненным образом каждый раз, когда легкие расширяются, во время дыхания. Когда вы глубоко вдыхаете, кашляете, чихаете или смеетесь, вы, вероятно, почувствуете резкую, колющую боль в области этого воспаления. В большинстве случаев это вызывается инфекцией.
Боль в груди, вызванная плевритом, имеет признаки, которые часто позволяют доктору узнать, о наличии этого состояния. Вы, вероятно, заметите следующее:
- резкая, колющая боль заставляет человека делать мелкие частые вдохи, потому что состояние становится хуже, когда человек пытается глубоко дышать. Боль в груди - это самый распространенный симптом. Боль обычно становится лучше, если вы дышите не глубоко или лежите на боку, который болит. Боль в груди - это то, что обычно заставляет людей с плевритом обращаться за медицинской помощью.
- боль распространяется на плечо или спину.
- начинается кашель - у вас может быть кашель, в зависимости от причины плеврита. Кашель может быть сухим или продуктивным с мокротой или кровью.
- одышка - одышка, связанная с плевритом, может быть вызвана основной причиной, такой как сгусток крови в легких или пневмонией, или это может быть из-за боли в груди, вызванной дыханием.
- может появляться лихорадка и озноб.
- человек может терять вес.
Плевра представляет собой двухслойный мешок, который удерживает легкие и отделяет их от стенки грудной клетки, диафрагмы и сердца. Pleurisy является результатом воспаления этого мешка. Плевра, которая выстилает внутреннюю часть тела, называется париетальной плеврой. Плевра, покрывающая легкие, называется висцеральной плеврой. Если вы здоровы, плевра разделяется тонким слоем жидкости. Это позволяет легким расширяться и легко сокращаться во время дыхания. Воспаление, которое возникает при плеврите, может вызвать боль при дыхании и может даже вызвать большое количество жидкости для сбора в плевральном мешке. Плевриус может уйти сам по себе или ухудшиться, так что жидкость должна вытекать из легких. У некоторых людей развивается рубцовая ткань, называемая спайками после плеврита. Затем у них развивается хроническая боль или одышка.
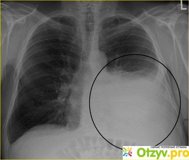
У человека с плевритом воспаление может вызвать то, что жидкость будет накапливаться меж мембранами. Это увеличение жидкости называется плевральным выпотом. Это может быть вызвано перепроизводством жидкости одной мембраной или сбоем другой мембраны для надлежащего слива жидкости. Плевральный выпот может облегчить симптомы плеврита, поскольку жидкость останавливает мембраны от решеток друг против друга. Однако накопление жидкости вокруг легких может вызвать сжатие легких и может привести к затрудненным дыханиям, таким как одышка или быстрое дыхание.
Существует много причин плеврита:
- инфекционное заболевание, вызванное вирусом, бактериями, грибком, туберкулезом или паразитами,
- рак, такой как мезотелиома или распространение из других областей,
- коллагеновые сосудистые болезни - волчанка, ревматоидный артрит, саркоидная болезнь или склеродермия,
- травма от ушибленных или сломанных ребер,
- желудочно-кишечные заболевания, например панкреатит, перитонит или сбор гноя под диафрагмой,
- реакция на лекарства, такие как метотрексат и пенициллин, уремия,
- сгусток крови в легких, радиационная терапия, серповидноклеточная анемия,
- химиотерапевтические препараты, асбест, ВИЧ.
Врач изначально будет спрашивать о силе боли, которую вы чувствуете, когда вы дышите или кашляете, и он спросит, становится ли состояние лучше или хуже, в течении дня. Он послушает ваши легкие с помощью стетоскопа, чтобы убедиться, что они издают какие-то странные звуки. Вам также могут потребоваться провести обследование, например:
- рентген. Если врач хочет исключить другие проблемы, кроме плеврита, он может отправить вас на рентген, компьютерную томографию или даже ультразвук. Эти изображения могут показать, что это плеврит, который вызывает боль.
- анализ крови. Этот анализ дает возможность понять, является ли инфекция причиной болезни. Это может также выявить, если у вас заболевание аутоиммунного характера, к примеру волчанка, или другая проблема.
- ЭКГ. Электрокардиограмма вашего сердца может показать, что боль в груди вызвана сердечной проблемой, а не плевритом.
Чтобы правильно лечить болезнь, необходимо сначала выяснить причину:
- если это бактерии, тогда назначаются антибиотики, которые помогут улучшить состояние.
- если это грибок, тогда назначается противогрибковый препарат.
- если это вирус, тогда врач назначит препараты, которые будут устранять неприятные симптомы и через несколько дней состояние станет лучше самостоятельно.
У некоторых людей с плевритом образуется много жидкости между слоями плевры. Иногда необходимо удалять часть жидкости. В результате чего врач может вставить тонкую иглу в пространство между вашей плеврой, чтобы сделать это. Если кашель слишком болезненный, врач может назначить препарат (кодеин), который может уменьшить количество кашля. Вы можете чувствовать себя лучше, если вы лежите на стороне, которая причиняет вам боль. По мере того как боль начинает уходить, попытайтесь дышать глубже и необходимо откашливать любую мокроту, которая у вас есть. Это поможет улучшить состояние быстрее.
В тяжелых случаях могут быть назначены лекарственные средства, назначаемые по рецепту, и лекарства от кашля, включая сиропы от кашля на основе кодеина. Блокада в кровеносном сосуде, который проходит от сердца к легким, называется легочной эмболией. Человек с плевритом может быть помещен на разбавители крови, если врач диагностирует легочную эмболию. Если причина связана с аутоиммунным состоянием, таким как волчанка, тогда ревматолог будет лечить болезнь лекарством. Лечение во многом зависит от причины и тяжести состояния.
Перед применением обязательно проконсультируйтесь со специалистом
| Все(5) |
|---|
Елена Малышева. Симптомы и лечение плеврита лёгких | Симптомы плеврита легких у взрослых! | ПЛЕВРИТЫ и плевральный выпот | Жидкость в легких Что делать, если в легких скапливается жидкость Заметки лекаря | Плеврит. Что делать, если дышать больно |
Комментарии на отзыв: