| Цена: 0 руб. | |
| Средняя оценка: 1 из 5
|
|
| Сайт: medicine.kz | |

История произошла на день рождения 3 года назад, тогда мы в кругу друзей решили отметить данное событие у меня дома, поэтому я запасся спиртными напитками. Ничто не предвещало беды, как в один неудачный момент меня очень сильно кольнуло в спине, от этой боли я просто упал на пол, друзья сначала подумали и решили, что я притворяюсь, но затем заметили не ладное и принялись звонить в скорую помощь. Работает у нас данная служба просто отвратительно в Казахстане, поэтому пришлось ждать ее час, но вот наконец работники медицинской службы все же наведали нас, врач меня осмотрел и поставил предварительный диагноз - пневмония.
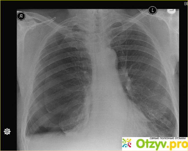
На тот момент сильно повысилась температура и давления, меня бросило в озноб. Не стали терять время и меня повезли в районную больницу, именно там я и познакомился с Чемяновом Георгием Станиславовичем. В своем отзыве я хочу рассказать о том, как со мной вел себя данный лже-специалист. Позже я пробил про него информацию, и отзывы почитал дополнительно на местном сайте, где многие его пациенты тоже остались недовольными качеством его работы. Он сразу принялся меня правда осматривать, после моего ответа на вопрос по поводу сигарет, он начал на меня сражу же косо смотреть и перешел на другой не очень приятный мне уровень общения. Отправил в грубой форме проходить рентген, на котором выявилось что в плевральной полости левого легкого у меня достаточное количество жидкости и воздуха, которые в скором порядке нужно было выкачивать. Называется данная болезнь - спонтанный гидропневматоракс, вот и произошла она довольно случайно и не в самый подходящий момент. Хорошо, что меня навещали за 2 недели моего нахождения в данной больнице, мои лучшие друзья, близкие люди и напарники с работы. За это время я съел столько апельсинов, бананов и яблок, сколько за год не ел. И благодаря тому, что я просто хотел перебороть данную болезнь, мне в конечном итоге удалось встать на ноги.
Срочно необходимо было проводить пункцию легкого для того, чтобы извлечь оттуда всю эту жидкость и воздух. Георгий Станиславович не решился проводить данную процедуру, а молча тихо стоял в уголке и наблюдал за тем, как его помощники высасывают с меня всю это. Во время пункции он постоянно на меня кричал, грубо выражался, было очень не приятно, но я держался до самого конца процедуры. Хочу особо поблагодарить его помощников, которые все сделали довольно четко, правда пришлось делать два прокола в легкие спереди и сзади и ко мне привязали две банки, с которыми я в последствии носил с собой. Но вот тут произошла небольшая заминка. Георгий Станиславович забыл мне сообщить о том, что когда я куда-либо собираюсь, то должен перекрывать шланг слива жидкости в стакан. И вот в один такой момент я решил прогуляться по коридору, потому что жарища стояла в палате и дышать было просто невыносимо. Не пройдя и пару метров я просто упал и разбил этот стакан. Хорошо, что прибежала на помощь медсестра и меня проконсультировала, иначе все могло закончится довольно печально.

За две недели он лишь два раза меня навещал, на второй день и в день выписки. Я пытался до него достучаться и узнать на счет состояния моего здоровья, но он постоянно отныкивался и со мной разговаривать явно не хотел, на что мне потом пришлось накатать на него отрицательное мнение в книге жалоб. И вот в день выписки он мне все же выдал лист с заключением, своим непонятным почерком он мне расписал нужные лекарства, которые я должен был принимать.
Ужасное впечатление у меня за это время сложилось на счет данного врача.
| Все(5) |
|---|
Пластический хирург Георгий Чемянов в программе "Стиль жизни" на канале Москва 24 | "Комплексное и естественное омоложения лица" рассказывает пластический хирург, к.м.н. Чемянов Г.С. | Пластический хирург Георгий Чемянов - о конгрессе в Батуми (Грузия) | Увеличение и подтяжка груди. Пластический хирург - Георгий Чемянов | Георгий Чемянов |
Комментарии на отзыв: