| Цена: от 30 000 руб. | |
| Средняя оценка: 5 из 5
|
|
| Рекомендуют: 100% | |
| Сайт: | |

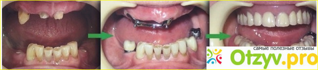
Потеря зубов, является самой большой проблемой, с которой сталкивается человек как в подростковом, так и в пенсионном возрасте. Лишение хотя бы одного зуба из-за периодонтита, кариеса, или в результате несчастного случая, приводит к снижению жевательной способности, и нарушению физиологического состояния всего организма.
Однако на сегодняшний день, частная медицина продвинулась далеко вперёд, и есть возможность "восстановить отсутствующие зубы" благодаря зубным имплантам, которые изготовлены из титановой основы вживляемой в челюсть, и когда титан прочно срастётся в остатки костной ткани, на него приспосабливают зубной протез.
Стоимость импланта напрямую зависит от категории, которая делится на высокую, среднюю, низкую от (30-100 000 руб).
В чём преимущества "искусственных зубов"?
Если стоматолог предлагает пациенту установить дорогие импланты, то их преимущества в том, что:
Врачу нет необходимости проводить депульпацию, или обточку соседних зубов.
Во время жевательного процесса отсутствует зубная перегрузка, что позволяет хорошо пережёвывать пищу.
Съёмные протезы хорошо и качественно фиксируются, и полностью сохраняют костный объём ткани.
Процедура установки имплантов единственный вариант восстановить жевательную функцию, если отсутствуют последние опорные зубы.
Какие могут быть последствия от проведения процедуры?
Несмотря на все преимущества лечебной процедуры, установка искусственных зубов имеет ряд противопоказаний, о которых следует знать, чтобы обсудить их с врачом.
Соглашаясь на процедуру, нужно подготовится к тому, что она может занять довольно длительное время, и желательно реально оценить все лечебные этапы и их последствия.
Во время проведения операции, десну разрезают для того, чтобы оголить кость.
А после, делают отверстие, по форме импланта. Затем, вкручивается заглушка, и десна зашивается.
Как и при лечении зубов, врач делает местный обезболивающий укол, но в исключительных случаях, применяют общий наркоз.
Восстановление десны происходит в течении месяца, после чего снимаются швы.
В течении 3-4 месяцев, происходит приживление импланта в кость, и все последующие заключительные процедуры.
Риск отторжения импланта существует всегда, и послеоперационный период будет протекать с болями, отёком, и нарушением функций жевания.
Во время проведения всех медицинских манипуляций и после, не исключён воспалительный процесс, кровотечение, и применение целого списка антибиотиков.
В заключении мне хочется сказать, что не смотря на широкую рекламу установки имплантов, процедура имеет массу побочных явлений, и противопоказаний, и прежде чем на неё соглашаться нужно всё тщательно взвесить, и обсудить с лечащим врачом.
Перед применением обязательно проконсультируйтесь со специалистом
| Все(5) |
|---|
Имплантантация зубов отзывы цены 2017 в спб | ЦЕНЫ НА ИМПЛАНТАЦИЮ ЗУБОВ. Стоимость каждого этапа. | ИМПЛАНТАЦИЯ ЗУБОВ: КАК ВЫБРАТЬ СТОМАТОЛОГИЮ И НЕ ПОЖАЛЕТЬ ПОЛЕЗНАЯ КОНСУЛЬТАЦИЯ | ИМПЛАНТАЦИЯ НА НИЖНЕЙ ЧЕЛЮСТИ. СТОМАТОЛОГИЯ СПБ PRIMED | СКОЛЬКО СТОИТ ИМПЛАНТАЦИЯ ВСЕЙ ЧЕЛЮСТИ КОНСУЛЬТАЦИЯ ИМПЛАНТОЛОГА |
Комментарии на отзыв: