Здравствуйте! Мало кому известно, что у любого человека могут иметься аномалии в его организме. Вот об одной из них хочется рассказать, это аномалия Киммерли не многим людям оно известно. Что это за болезнь с интересным названием.
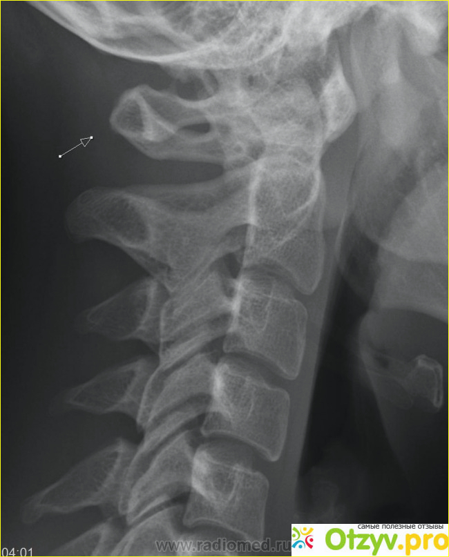
Речь идет об отростке в шейном отделе, в основном это второй позвонок, в норме он быть в форме полукольца или кольца не должен, в этом и заключается аномалия. Просто в этом месте выходит позвоночная артерия к черепу, которая кровоснабжает головной мозг. Из за этой аномалии артерия может слега быть передавленной и кровь поступает не в полном объеме и соответственно мозг страдает от гипоксии (кислородное голодание). Отсюда с вытекающимися последствиями приобретаются заболевания малоприятные, например инсульт. Головной мозг у человека управляет всем организмом, вот и представьте если ваш рулевой не в порядке, то каково будет управление. Произойдет дезорганизация, и так все будет работать, а порой человек так и живет с аномалией и некоторые врачи не обследуют пациента не вспоминая о такой проблеме, как вы уже поняли очень серьезной.
Если имеется аномалия Киммерли , могу появиться такие симптомы, как головокружение, шум в ушах, мелькание мошек перед глазами, при перенапряжении мышц шеи и резких поворотах головы, человек может упасть в обморок. Присутствуют другие симптомы тремор конечностей, онемение половины лица, нарушение чувствительности рук или одной руки и это не не все симптомы. Чтобы выявить у пациента этот недуг врач назначает ряд обследований: рентгенографию черпа и позвоночной артерии, доплеровское и дуплексное сканирование, вообщем провести диагностику всех сосудов которые кровоснабжают мозг. Назначается медикаментозное лечение, ставятся ноотропные препараты, витаминотерапия и другие. Врач подберет для вас с вязи с переносимостью вами препараты, чтобы улучшить работу головного мозга и он для вас постарается работать, как часы. Обязательно нужно соблюдать режим работы и отдыха. Для того чтобы мозговой компьютер не вышел из строя. Запрещены категорически стойки на голове, играть в футбол и те занятия физические и виды спорта, где вовлекается голова и шея. Данное заболевание распознает невролог, именно к нему нужно записываться, а он может направить на курс лечебного массажа, в этом случае он был бы кстати. Повезет вам если вы попадете к грамотному специалисту, потому что при данной аномалии нельзя выполнять массаж грубо и применять усилия, то есть силу. Здесь в задачу массажиста входит расслабить мышцы шеи, верхней части головы и надплечья, для того что бы улучшить кровоснабжение.
Существуют и другие помощники, которые улучшат ваше самочувствие и состояние и в этом вам поможет воротник Щанца. Его можно приобрести в ортопедических салонах, консультанты вам подскажут как правильно выбрать и сделает замеры. Одевать нужно будет в момент нагрузки, когда сидите за компьютером, вяжите, шьете, в те моменты когда идет при выполнении работы нагрузка на шею и надплечья. Не плохо было бы записаться на плавание, данный вид занятий очень полезен, так как в воде мышцы и расслабляются и укрепляется их тонус. Так же способствует спазму мышц, стресс поэтому старайтесь в своей жизни расставлять приоритеты, ставя свое здоровье на первое место. Лишний раз не стимулировать свою нервную систему, она вам отомстит и вернет все с депозитом. Если у человека поставлены такие диагнозы, как атеросклероз, болезнь Альцгеймера и прочие сосудистые заболевания, они только пробуждают вулкан имя которому аномалия Киммерли. Вот насколько все внутри нас взаимосвязанно.
| Все(5) |
|---|
Аномалия киммерли | Внимание родители! Аномалия Киммерли шейного отдела как находка. Травм | Потеря Cознания При Запрокидывании Головы (советы врача). | Диагностика аномалии Киммерли. Коронарное КТ. Пособие для врачей рентг | Головная боль. Мигрень. Headache. Migraine. |
Комментарии на отзыв: