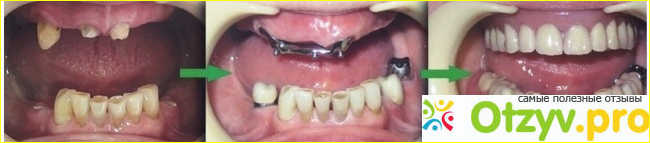
Имплантация зубов – это наиболее современное направление в развитии мировой стоматологии. смысл операции в том, что вместо удаленного корня зуба устанавливается имплант – аналог корня из титанового сплава, на котором фиксируется коронка или он служит опорой для съемных или несъемных протезов.
Это дает возможность восстановить зубной ряд без обтачивания по соседству расположенных зубов, а также правильно восстановить анатомические особенности лица и устранить проблемы при жевании. Используя импланты возможно создание несъемного протеза даже если зубы полностью отсутствуют.
При этом импланты выступают в качестве опоры для мостовидного протеза.
Титан – довольно таки инертный металл в ротовой полости, поэтому он практически не вызывает реакции отторжения при соединении с костоной тканью. После того как имплант вживили, на него производят установку опорной головки (абатмента), которую фиксируют винтом. А уже на абатмент крепится коронка или какой-либо другой вид протеза.
Срок службы имплантов составляет 10 и более лет, а может быть и неограниченным при соблюдении гигиены полости рта, отсутствии декомпенсированных хронических заболеваний, отказе от курения, и регулярном посещении стоматологического кабинета.
Операция сама производится под местным наркозом и хорошо переносится. Большинство осложнений, которые могут возникнуть возникают по вине пациента от несоблюдений рекомендаций по послеоперационному периоду. А вообще они очень редки.
Единственный минус – это цена процедуры, которая делает ее недоступной для широких слоев населения.

| Все(1) |
|---|
Имплантация зубов |
Комментарии на отзыв: